Catarata: O que é a cirurgia a qual Ronaldo Caiado foi submetido nesta 2ª feira

PH MotaNotícias20, janeiro, 2025

Ronaldo Caiado | Foto: Governo de Goiás
Ronaldo Caiado | Foto: Governo de Goiás

O governador de Goiás, Ronaldo Caiado (UB), foi submetido a uma cirurgia de catarata nesta 2ª feira (20).

Atenção: Ao copiar material produzido pela Folha Z, favor citar os créditos ao site. Bom jornalismo dá trabalho!

O procedimento, que estava agendado para a semana passada, foi adiado e remarcado para esta data.

Caiado já passou por cirurgia semelhante em um dos olhos anteriormente.

O tratamento não deve interferir em sua rotina de trabalho, que deve ser retomada em breve.

A primeira-dama do Estado, Gracinha Caiado, suspendeu seus compromissos para acompanhá-lo durante o procedimento.

Envelhecimento

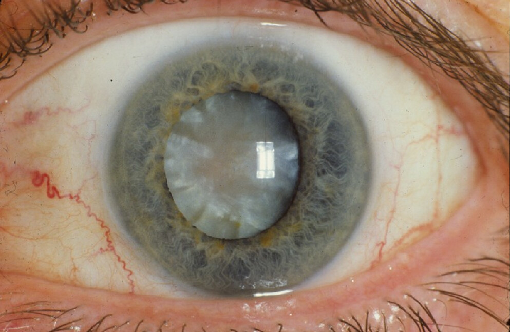
A principal causa da catarata é o envelhecimento.

Com o tempo, as fibras que formam a lente do olho começam a se deteriorar, o que a torna turva e prejudica a clareza da visão.

Esse processo costuma ocorrer, em média, a partir dos 60 anos.

Olho com catarata | Foto: NIH Image Gallery

Olho com catarata | Foto: NIH Image Gallery

No entanto, a catarata também pode ser provocada por outros fatores, como predisposição genética, exposição excessiva ao sol, diabetes, lesões ou traumas oculares, uso prolongado de certos medicamentos e hábitos de vida, como o consumo excessivo de álcool e uma alimentação pobre em nutrientes antioxidantes.

O que é a cirurgia de catarata?

A cirurgia de catarata é realizada para remover a lente do olho, quando ela perde a transparência e fica turva.

A lente natural é substituída, em geral, por uma lente artificial.

O procedimento é simples, rápido e seguro, com duração inferior a uma hora.

Após a cirurgia, o paciente pode voltar para casa no mesmo dia, sem a necessidade de internação.

A recuperação leva cerca de 7 dias, e, nesse período, é comum que a visão fique um pouco embaçada.

Recomenda-se o uso de óculos de sol e evitar o contato excessivo com os olhos.

Tipos de cirurgia de catarata

A cirurgia de catarata pode ser realizada de duas maneiras principais:

  • Cirurgia de catarata a laser: Utiliza um laser para realizar a incisão na lente, oferecendo maior precisão. Após a incisão, a lente é removida e substituída pela nova lente artificial.
  • Cirurgia de catarata por ultrassom: A técnica envolve o uso de um colírio anestésico para evitar dor. A lente do olho é quebrada e aspirada por uma sonda de ultrassom, e em seguida, uma lente intraocular dobrável é inserida. A cápsula da lente original é mantida intacta para dar suporte à lente artificial.

Quer receber notícias dos bastidores da política de Goiânia?

Você está convidado a fazer parte de um grupo altamente bem informado sobre os rumos da cidade!

**Mande uma mensagem para o **Whatsapp da Folha Z e se cadastre para ter as matérias especiais da Folha Z direto do seu celular.

É só adicionar o telefone do jornal à sua agenda e mandar o seu nome e a seguinte mensagem: “quero notícias da política de Goiânia”


Selecione-o e pressione Ctrl + Enter.

Deixe um comentário

Carregando Próxima Matéria...
Siga-nos
Popular
Carregando

Entrando em 3 segundos...

Cadastrando em 3 segundos...

Todos os campos são obrigatórios.